肺炎とは

肺炎のイメージ

肺炎とは、肺にある小さな空気の袋である肺胞や、その周辺組織で起こる感染症です。
全世界で毎年多くの方々が肺炎で亡くなっています。とくに高齢者や重篤な慢性の病気がある場合、発熱や咳などの特徴的な症状が出ないこともあり、気づかない間に重症化して肺炎が命取りになることがあります。

肺炎の原因

肺炎のイメージ

肺炎は、細菌、ウイルス、真菌、寄生虫など様々な微生物によって引き起こされます。原因微生物が1つのこともあれば、複数の微生物が関わることもあります。

細菌による肺炎が大多数ですが、新型コロナウィルス感染症による肺炎は近年、特に印象的です。

細菌による肺炎は

  • 市中肺炎:一般の方々に起こる細菌性肺炎
  • 院内肺炎:病院内や高齢者施設において起こる細菌性肺炎

に分けられ、それぞれに対して治療戦略が異なります。

市中肺炎の原因菌として代表的なものとしては

  1. 肺炎球菌
  2. インフルエンザ菌
  3. 肺炎マイコプラズマ
  4. 肺炎クラミドフィラ

があげられます。このうち肺炎球菌が市中肺炎の約3割の原因菌ですが、毒性も強いためしばしば重症例もみられます。

肺炎のイメージ

肺炎球菌やインフルエンザ菌は、人間の口腔内や鼻腔内に住み着いている常在菌です。肺炎マイコプラズマや肺炎クラミドフィラは外から侵入してきます。これらの微生物が常に肺炎を起こすのではなく、

バランスのイメージ
  • 免疫力が低下したとき
  • 咳反射や粘液の機能が弱まりうまく排泄できないとき
  • 大量の細菌が吸い込まれたとき
  • とくに感染性の強い微生物が侵入したとき

など、人間側の免疫と微生物側のパワーバランスが崩れるときに感染し、肺炎を起こすのです。

肺炎の症状

食欲がない高齢者のイメージ

よく見られる症状としては

  • 痰が絡んだ咳
  • 発熱
  • 胸痛
  • 悪寒

などがあります。高齢者では典型的な症状がないこともあり

  • 何となく食欲がない
  • 息がいつもより粗い
  • なぜか錯乱している

など、普段と違う様子が診断のきっかけになることもあります。

肺炎の診断

  • 問診では、肺炎を起こしやすいリスク因子がないかを確認します。免疫抑制剤や抗がん剤の使用、心・腎臓疾患、糖尿病などの背景の情報を伺います。
  • 聴診では呼吸音を確認し、肺雑音がないかをチェックします。
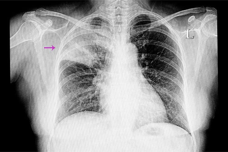
  • レントゲン検査で肺炎像を確認します。CTを検討するケースについては連携医療機関に紹介させていただきます。
  • 喀痰検査で原因菌を確認します。
  • 血液検査では、炎症の程度、その他臓器の状態を評価します。

肺炎の重症度

A-DROPなどのスコアを用いて重症度を評価し、外来で治療するのか、入院して治療するのかの方針を決めます。

  • A (Age):男性70歳以上、女性75歳以上
  • D (Dehydration):BUN21mg/dl以上または脱水あり
  • R (Respiration):血中酸素飽和度90%以下
  • O (Orientation):意識障害あり
  • P (Pressure):血圧90mmHg以下のショック

A:年齢

高齢になるほど免疫力が低下して増悪するリスクが高まります。高齢者の肺炎は誤嚥性肺炎など命に関わる肺炎も多いのです。

D:脱水

血液検査のBUN(血中尿素窒素)は脱水の指標です。肺炎で食事がとれなかったり、発熱で水分を失っていると脱水に陥り危険な状態になります。

R:呼吸状態

肺炎がひどいと酸素を上手く取り込めず低酸素状態に陥ります。SpO2モニターは指で簡単に酸素状態を測ることができます。SpO2 90%以下は酸素投与が必要な状況です。

O:意識の状態

脱水や低酸素状態、敗血症の状態になると意識障害が起こることがあります。緊急に対応する必要があります。

P:血圧低下

脱水や敗血症の状態になるとショック状態になり血圧が低下します。緊急に対応する必要があります。食事や水分が取れずふらふらする場合には、血圧を測定してみましょう。

以上の5項目から点数をつけ、治療方針を決めます。

  • 0点:軽症(外来治療)
  • 1-2点:中等症(外来or入院治療)
  • 3点:重症(入院治療)
  • 4-5点:超重症(ICU入院)

肺炎の治療

治療のイメージ

細菌性の場合は抗生物質、ウイルス性の場合は抗ウイルス薬を使用します。
肺炎の重症度・起因菌を考慮したうえで抗生物質を選択します。症状がひどい場合や入院での治療が必要な場合は、連携している総合病院へ紹介させていただきます。

咳や痰などの症状から肺炎を心配して来院されるケースは多いです。診察で全身状態の把握を行い、合わせて胸部レントゲン検査なども行い説明をすることで、みなさま非常に安心されます。少しでも心配があれば早めに受診をおすすめいたします。

当院ではレントゲンに加えて採血検査も当日結果が出る点が強みです。患者様の安心につながれば幸いです

肺炎の予防

ときに重症肺炎をおこす肺炎球菌についてはワクチンを投与することで、発症や重症化を予防することができます。

肺炎球菌は約90種類の型があり、全てを予防できるわけではありませんが、それぞれ頻度の高い型を予防します。概ね肺炎球菌性肺炎の30~45%程度の予防効果があります。是非肺炎球菌ワクチンについてもご覧ください。

肺炎球菌ワクチンはこちら