心筋梗塞とは

心筋梗塞のイメージ

心筋梗塞とは、心臓に酸素や栄養を運ぶ冠動脈が詰まって血液が流れなくなり、心筋(心臓を動かしている筋肉)が死んでしまう病気です。

冠動脈は、心臓の筋肉に酸素と栄養を送る動脈で、心臓の外側から覆うように走っています。右冠動脈と左冠動脈がありますが、左冠動脈はさらに左前下行枝と左回旋枝に分かれます。

心臓のイメージ

心筋は、この3本の冠動脈から酸素や栄養を得ています。冠動脈が詰まってしまうと、詰まった先にある心筋は、酸素や栄養が届かず壊死してしまいます。壊死した心筋は再生しません。心筋が壊死すると、心臓の力が弱り、充分な血液が全身に送り出せなくなります。

自分で気づかない間に詰まってしまう心筋梗塞もありますが、心筋梗塞のほとんどは突然起こる急性心筋梗塞です。冠動脈内に血栓が急激に形成され、冠動脈が詰まって発症します。

迅速に治療しないと死に至る可能性もある病気です。

狭心症との違い

心筋梗塞と似た病気に狭心症があります。ともに虚血性心疾患に分類されますが、両者は心筋へのダメージに差があります。狭心症は、冠動脈が徐々に狭くなっても心筋自体は生きています。一方で、心筋梗塞では冠動脈が詰まった結果、心筋が壊死してしまいます。したがって、心筋梗塞のほうがより危険で重篤と言えます。

どちらも胸の痛みや圧迫感などの症状が出ますが、狭心症では、そうした症状が数分から15分程度と一時的なのに対し、心筋梗塞では30分以上持続し、安静や薬(ニトログリセリン)を服用しても治まりません。

心筋梗塞の原因

動脈硬化のイメージ

心筋梗塞の原因は、ほとんどが動脈硬化です。動脈硬化とは、高血圧や糖尿病等の生活習慣病、喫煙、加齢などその他のさまざまな要因で血管が硬くなってしまった状態です。動脈硬化が進んだ血管壁の内側に脂質成分に富むコブのようなもの(プラーク)ができ、破綻することで心筋梗塞は発症します。

高血圧や糖尿病、喫煙は動脈に負担をかけ、血管の内側にある内皮細胞を傷つけます。

続いて、LDLコレステロール(悪玉コレステロール)が、傷ついた内皮細胞(動脈壁の一番内側の細胞)のすき間から血管壁の内側に入り込み、それを退治しようとする免疫細胞なども入り込んで膨らみ、プラークと呼ばれるコブのようなものが形成されます。プラークの表面は薄いので、大きくなって破れると、そこに血栓が形成され、血管が塞がれて心筋梗塞になります。

心筋梗塞になる動脈壁のイメージ

動脈硬化以外では、以下のような原因で発症します。

  • 冠攣縮性狭心症(冠動脈の攣縮、けいれん)
  • 血管炎(冠動脈自体に炎症が及ぶ)
  • 大動脈解離(心臓を出てすぐの大動脈が裂け、血管壁内に血液が流入する)
  • 心原性塞栓症(心臓の中から血栓が飛んでくる)

心筋梗塞のリスク

心筋梗塞を発症しやすくなる、動脈硬化のリスクには以下のようなものがあります。これらの要因に複数あてはまる、50歳以上の男性、あるいは60歳以上の女性の方は、心筋梗塞の発症リスクが高いと言えます。

  1. 高血圧
  2. 糖尿病
  3. 脂質異常症(高コレステロール血症)
  4. 喫煙
  5. 肥満(痩せて内臓のまわりに脂肪が付いている内臓脂肪型肥満もリスク要因です)
  6. ストレス
  7. 家族歴(血縁者で心筋梗塞既往がある場合はリスクが高くなります)

心筋梗塞の前兆と症状

胸に違和感がある男性のイメージ

心筋梗塞には、胸の痛みや圧迫感といった前兆のある場合があります。心筋梗塞を起こした約半数の方が、発症する1~2か月前に、そうした前兆を経験すると言われています。胸の痛みや圧迫感が繰り返し、大きくなったり、頻度が増したりします。安静にしても胸やけのような症状や違和感が残ります。この状態を不安定狭心症と言います。

不安定狭心症でも、安静にしていれば治まることもあり、軽く考えて放置してしまう人が少なくありません。動脈硬化のリスクがある人で、胸の違和感や痛みなど症状が出た方は不安定狭心症や心筋梗塞に至る可能性を考えなくてはなりません。必ず医療機関を受診しましょう。

しかし一方で、前兆なしに突然心筋梗塞を発症する方もいます。糖尿病や高齢者は、痛みを感じにくい場合もあります。前兆がないからと油断するのは禁物です。

心筋梗塞の症状として最も有名で特徴的なのは、脂汗が出るほどの激しい胸の痛みです。「痛み」というよりも、胸が締め付けられるような圧迫感、焼けるような感じ、と表現されます。

胸全体が痛むことが多いですが、胸から顎や歯茎、左肩や左腕にかけて広がる場合もあります。背中が痛むこともあります。このため、心臓から来る痛みとは思わず、筋肉痛や胃痛、歯痛などと勘違いする人もいます。

更に、呼吸が苦しく冷や汗が出る、吐き気がする、といった症状や、脱力感や動悸、めまいなど、ショック症状を呈する場合もあります。

心筋梗塞の検査と診断

①問診

問診は非常に重要です。いつ、どの部分に、どんな症状が出るのか、痛みや圧迫感は良くなっているのか悪くなっているのか、初めての症状なのか複数回あるのか、他に持病はないか、血縁者に心臓病の人はいるのか、といったことを尋ね、状況を把握します。

②心電図検査

心電図は心臓の電気的な活動を波形として記録する検査です。心筋梗塞が起こると、典型的な波形の変化が見られるので、それを基に血管の詰まった箇所や範囲が推定できます。

心電図のイメージ

③血液検査

心筋梗塞は血液検査で確認できます。心筋梗塞が起こり、心筋が壊死すると、心筋細胞からさまざまな酵素が血液中に漏れ出るので、それを調べます。

  • 心臓型脂肪酸結合蛋白(H-FABP)は、心筋梗塞の発症1~2時間後から上昇してきます。迅速診断法(ラピチェック)により、発症2時間以内の超急性期心筋梗塞の診断が可能です。
  • 心筋トロポニンは、心筋梗塞の発症3~6時間後から上昇し始め90%以上の精度で心筋梗塞の診断ができます。約2週間は検出可能で、発症後数日経た心筋梗塞の診断も可能です。
  • クレアチンフォスフォキナーゼ(CK)とその分画であるCK-MBという酵素は、心筋梗塞発症の4~5時間後から血液中に増えてきます。
  • 脳性ナトリウム利尿ペプチド(BNP)は、心臓を守るために心臓自体(心室)から分泌されるホルモンです。心臓への負担の程度を知ることができます。自覚症状が出る前から濃度が上がるので、心機能低下の早期発見に役立ちます。

心筋梗塞の背景には動脈硬化が潜んでいるケースが多いので、糖尿病や脂質異常症、腎臓疾患などの評価にも血液検査は有用です。

④胸部レントゲン検査

レントゲンのイメージ

胸部レントゲン検査は状態把握や鑑別診断に有用です。主に肺うっ血や胸水の有無を調べます。広範な心筋梗塞では心不全となり心陰影が拡大します。

肺うっ血の程度は心筋梗塞急性期の予後を左右するため、胸部レントゲン検査は大事な検査です。

また、胸痛や背中の痛みといった症状を起こす病気に大動脈解離という病気があります。胸部レントゲン検査では、大動脈陰影が拡大していないかも確認します。

⑤心臓超音波検査(心エコー検査)

超音波のイメージ

超音波を使って心臓の状態を探る検査です。心臓の大きさ、心筋の動き、弁の機能などを評価します。冠動脈が詰まって虚血がある場合には、左心室の壁運動に異常がみられることがあり、診断に有用です。また、心筋梗塞に合併する腱索断裂や乳頭筋不全による急性僧帽弁逆流、心室中隔穿孔、左室自由壁破裂などきわめて重篤な合併症も診断できます。

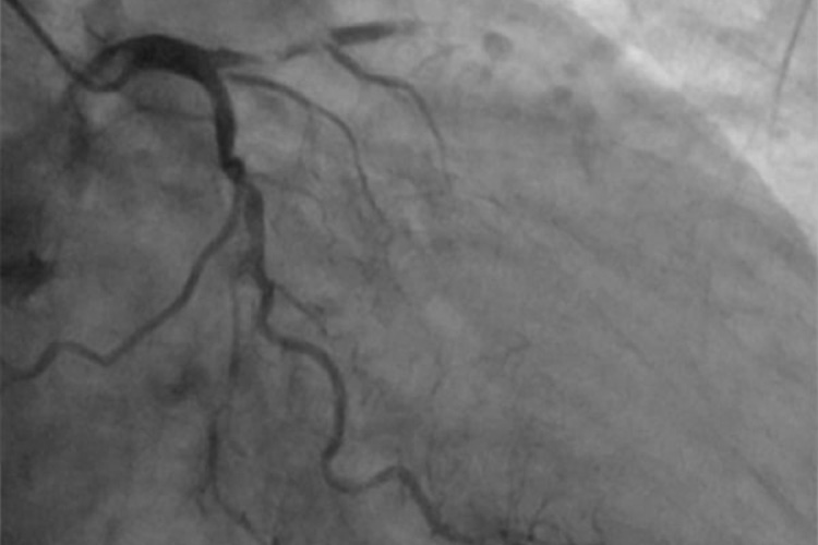
⑥冠動脈カテーテル検査

レントゲンのイメージ

カテーテルという細長い管を手首や肘、足の付け根の動脈に通して心臓まで挿入し、造影剤を注射して冠動脈のX線撮影を行います。冠動脈の狭窄の程度、部位、病変数などを詳細に評価でき、冠動脈疾患を診断するのに最も正確な評価が出来る検査です。詰まって狭い箇所が見つかった場合は、引き続きカテーテル治療を行います。

心筋梗塞の治療

初期治療

①痛みのコントロール(塩酸モルヒネや鎮痛薬)

胸痛は心筋の仕事量、酸素消費量を増加させ、梗塞巣の拡大や不整脈を誘発します。モルヒネなどの鎮痛薬を静脈から注入し痛みを抑えます。

②酸素投与、静脈ラインの確保

過剰な酸素は冠動脈の収縮や活性酸素産生により心筋障害を増悪しうるので、ルーチンの酸素投与は行いません。心不全をきたし酸素濃度が低下する場合には酸素投与が必要となります。

③硝酸薬(ニトログリセリン)

硝酸薬は、冠動脈や末梢血管の拡張作用により後負荷を軽減し、心筋酸素消費量を軽減します。冠攣縮の予防や解除にも有効です。

④抗血小板薬(アスピリン、クロピドグレル、プラスグレル等)

血栓予防を目的に、急性心筋梗塞が疑われるすべての患者様に対して、2剤抗血小板薬を投与します。再発予防や死亡率を減少させる効果があります。

再灌流療法

心筋を救うため、早急に血管を再開通させねばなりません。血流を再開させるこの治療を再灌流療法と言います。発症してから6時間以内に行なえば、梗塞範囲が小さくなり予後が良くなることが示されています。 再灌流療法には、カテーテル治療(PCI)、血栓溶解療法そして冠動脈バイパス手術があります。

①カテーテル治療(PCI)

カテーテル治療のイメージ

検査と同様に手首や肘、足の付け根の動脈からカテーテルを冠動脈まで持っていき、カテーテルに装着したバルーンで広げ、更にステントを拡げることで血流を維持します。しかし、金属製ステントの周りに血栓が出来やすくなるのが欠点で、血栓を予防するための抗血小板薬は欠かせません。

心臓カテーテル治療のイメージ

心筋梗塞ではいかに早く冠動脈の血流を再開させるかが大切になります。その点、心臓カテーテル治療(PCI)は冠動脈へのアクセスが早いため第1選択になのですが、PCIでは治療できない、あるいはリスクが高すぎる場合があります。

緊急開胸手術は、待機的な手術と比べてリスクの高い手術になりますが、冠動脈の入口付近を含めて何か所も狭い箇所がある場合などは、冠動脈バイパス手術(CABG)が選択されることがあります。

②冠動脈バイパス手術(CABG)

冠動脈の閉塞箇所を迂回して、バイパス血管を繋ぐ手術です。渋滞しやすい幹線道路にバイパスを設けて、渋滞を解消させるのと同じです。バイパスとして使う血管は、下肢の大伏在静脈や、肋骨の内側にある内胸動脈、手首の橈骨動脈、胃大網動脈などが使われます。

冠動脈バイパス手術のイメージ

冠動脈バイパス手術(CABG)には様々な方式があります。

  • 従来型のオンポンプCABG人工心肺装置を使って血液を循環させ手術を行います。心臓を止めて手術が行えるため操作しやすくなりますが、人工心肺装置によって脳卒中や腎不全が起こりやすくなるのでは?という懸念があります。
  • オフポンプCABG人工心肺装置を使わず、心臓を動かしたまま行なう手術です。スタビライザーという固定器具を使って一部だけ動きを止め手術を行います。人工心肺装置を使わないので、それに伴う合併症の危険が減ることが期待されます。

従来は胸の骨(胸骨)を切り開く胸骨正中切開が主流でしたが、最近では小切開CABGや内視鏡下手術やロボット手術など、より体の負担の少ない手術もできるようになりました。

③血栓溶解療法

心筋梗塞発症6時間以内に血栓溶解剤(ウロキナーゼ、t-PAなど)を静脈注射する方法は、特別な技術が要らず直ぐに行うことができます。しかし血栓が残ったり、詰まっていた部分が極めて狭いと、また再び発作を起こす危険があります。カテーテル治療(PCI)の成績が良いため日本ではあまり行われませんが、治療機関への搬送に時間がかかる場合等に考慮されることがあります。

心筋梗塞かもしれないと思ったら

日本では、年間約4万人の人が心筋梗塞で亡くなっています。入院後に亡くなる人は約6,000人で、残りの約34,000人は入院前に亡くなっています。一旦心筋梗塞を発症すると死亡率は約40%と言われます。しかし病院にたどり着くことができれば、緊急のカテーテル治療等により、救命率は飛躍的に高まります。いかに早く病院に到着するかが大事です。

自分や周りの方に下記のような症状が現れた場合は、ためらわずに救急車を呼びましょう。

  1. 強い胸の痛みを感じる。
  2. ごく軽い動作や安静時にも胸の痛みを感じる。
  3. 胸の痛みが繰り返し起こる、あるいは安静にしても15分以上持続する。

特に、高血圧、糖尿病、肥満、喫煙などのリスク要因を抱えていている方やその周囲の方は、これらの症状が起こった場合に備えておくことが大切です。日ごろから心臓マッサージやAEDの使い方の講習を受けておくことで、身近な方の命を救える可能性が高くなります。

心筋梗塞の発症を予防する事ができれば、より確実に死亡を防ぐ事ができます。それには、生活習慣を改善することが最も大切です。特に、高血圧、糖尿病、肥満、喫煙などのリスク要因を抱えている人は、バランスの良い食事や手軽な運動を心がけ、タバコをやめ、規則正しい生活を送り、ストレスをためないようにしましょう。