大動脈解離とは

大動脈解離のイメージ

大動脈は内膜、中膜、外膜の3層構造になっています。内膜・中膜がなんらかの原因で裂けて、大動脈の壁側に血液が流れ込み(偽腔)、大動脈内に別の血液の通り道ができる状態が大動脈解離です。血圧に負けて外膜まで破れたら、致命的となります。

大動脈解離は血圧を受けて広がります。偽腔の血流は、別の内膜の裂け目から再び真腔に戻ることもあります。

偽腔の状態によって、偽腔開存型、ULP型、血栓閉塞型に分けられます。
また、大動脈解離が起きた場所によって、Stanford A型またはB型に分けられます。

大動脈解離のイメージ

Stanford A型

上行大動脈に解離があるタイプで、手術を行わなかった場合の死亡率は、24時間で20%、48時間で30%、2週間で50%に及びます。

Stanford B型

上行大動脈に解離がないタイプです。手術を行わなかった場合の死亡率は、1か月で10%以下とされます。

大動脈解離の原因

高血圧、高脂血症、糖尿病、喫煙といった生活習慣病による動脈硬化や、炎症遺伝(Marfan症候群)などのさまざまな要因が関係すると考えられています。

大動脈解離の症状

大動脈解離の特徴的な症状として、突然の胸や背中の激痛が走ることです。解離が広がるにつれて、胸・背中からお腹や足など、痛みが移動することもあります。また、解離した場所や血流障害が起きた場所によって、様々な臓器が障害されます。

心臓への影響

大動脈解離のイメージ

大動脈基部に解離が及ぶと大動脈自体が拡張し大動脈弁閉鎖不全症が起こります。また、一部破裂して心臓の周りに血液が溜まる心タンポナーデをきたすとショックに陥ります。

また心臓を栄養している冠動脈は大動脈基部から出ています。偽腔が大きくなり入口を塞いでしまうと心筋梗塞を起こします。

脳や上肢への影響

頭頸部に走る動脈に偽腔が及ぶと、脳への血流が妨げられ、脳梗塞を起こします。また、上肢への血流も妨げられ血圧の左右差が出たり、上肢が冷たくなります。

腹部・脊髄への影響

腸管を栄養する動脈が妨げられると、腹痛や下血が起こります。また腎動脈に及ぶと腎不全となります。脊髄への血流が妨げられると下肢に麻痺が生じます。

大動脈解離の検査と診断

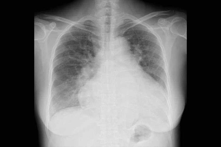
①胸部レントゲン検査

胸部レントゲン検査のイメージ

左右の肺に挟まれた縦郭全体を確認します。大動脈が拡大したり蛇行していないか、石灰化していないか等を確認します。

②超音波検査(エコー検査)

エコー検査のイメージ

超音波を使って心臓やお腹の状態を探ります。解離している動脈内にflapと呼ばれる偽腔と真腔を分ける隔壁を認める場合があります。心機能、大動脈弁逆流、心筋梗塞、心タンポナーデ等の合併症を調べるのにも有用な検査です。

③血液検査

大動脈解離では血液検査をしても特異的な異常は認めませんが、D-dimerなどの凝固系マーカーの異常が多く認められます。逆説的に、D-dimerを測定し極低値であった場合は、大動脈解離の可能性はかなり低いということができます。

動脈硬化の原因である糖尿病や脂質異常症などの評価にも血液検査は有用です。

④造影CT検査

造影CT検査のイメージ

造影剤を併用しCTをとることで、大動脈解離の有無を診断します。Stanford A型かB型か、他の動脈が閉塞していないか、心タンポナーデに至っていないかなど評価します。

大動脈解離の治療

大動脈解離の治療は、Stanford A型とB型で異なります。Stanford A型は手術治療が、Stanford B型は保存的治療が選択されることが多いです。

Stanford A型の治療

上行大動脈に解離があるStanford A型は、心筋梗塞や心タンポナーデ等の合併症を起こしやすいため緊急手術が必要になります。

①人工血管置換術

人工血管置換術のイメージ

上行大動脈や弓部大動脈の解離に対する手術です。
心臓の動きを止め、人工心肺で循環を維持しつつ、解離した血管を取り除き人工血管を縫い付けます。大動脈基部に解離が及んでる場合は、弁付きの人工血管を用いて弁も一緒に取り換える場合もあります(Bentall手術)。

②ステントグラフト内挿術

ステントグラフト内挿術のイメージ

ステントグラフトは、人工血管にステントと呼ばれるバネ状の金属を付けたものです。カテーテルを用いて進め、解離した部分をカバーするようにステントグラフトを拡げて留置します。

ステントグラフト内挿術は人工血管と比べると、人工心肺を使わずに短時間で済み、侵襲が少ない治療です。一方で、枝の動脈があれば、その動脈ごと内側から覆ってしまうため、全ての動脈に使えるわけではありません。またステントグラフトが移動してしまったり、変形や感染をきたすリスクがあります。

Stanford B型の治療

上行大動脈に解離がないStanford B型は、まず血圧を下げて解離が進行しないように管理します。大動脈が破裂しそうだったり、他の臓器障害の兆候があれば手術を行います。

急性期の治療が終わった後も継続的なフォローが必要になります。命の危険がある解離は人工血管やステントグラフトで治療されたとしても、それ以外の解離の一部は残ることになります。解離が拡大し破裂しないように、血圧等の管理が大切になります。