脂肪肝とは

脂肪肝とは余分な糖質や脂質が中性脂肪に変わり、肝臓に蓄積された状態のことです。放置すると脂肪肝炎から肝硬変へ進み、肝臓がんの原因となります。

脂肪肝のイメージ

脂肪性肝疾患(SLD):Steatotic Liver Dysfunctionは大きく5つに分けられます。

  • MASLD(Metabolic dysfunction Associated Steatotic Liver Dysfunction)
  • MetALD・・・MASLEDおよびアルコール摂取増加による肝疾患
  • ALD・・・アルコール関連の肝臓病
  • 特殊な原因がある脂肪性肝疾患
  • 原因不明な脂肪性肝疾患

ここでは主にMASLD(代謝性脂肪性肝疾患)について解説していきます。

代謝性脂肪性肝疾患(MASLD)とは

飲酒をしない方でも生活習慣の乱れによって脂肪肝を患うことが多くなっており、非アルコール性脂肪性肝疾患(NAFLD)と呼ばれてきました。NAFLD/NASH診療ガイドライン2020に記載されている内容を参考にすると、肝臓全体の肝細胞の5%以上の細胞の中に脂肪が溜まっている状態を脂肪肝としています。

最近では“fatty”という表現を避け、より代謝性機能障害に伴う疾患であることを意識したMASLD(Metabolic dysfunction Associated Steatotic Liver Dysfunction)と呼ばれるようになりました。

MASLDはアルコール、薬剤、遺伝性疾患などによる二次性脂肪肝を除いた病態で、従来のNAFLD(非アルコール性脂肪性肝疾患)を含みます。下記のいずれかがある方が該当します。

  • 肥満
  • 糖尿病や耐糖能異常
  • 高血圧、あるいは降圧薬を内服している
  • 高トリグリセライド血症、または脂質異常症の薬を内服している
  • 低HDLコレステロール血症、または脂質異常症の薬を内服している

現代では40代以上の男性の約50%がMASLD(NAFLD)と考えられ、女性でも加齢とともに増加傾向にあります。

脂肪肝と診断されても「大したことない」「まあ良くある」と考えて放置する方もいますが、MASLDになると心筋梗塞や脳卒中などの動脈硬化性疾患のリスクも高まることが知られています。きちんと病気と認識し治療に取り組むことが大切です。

脂肪肝とメタボリックシンドローム

内臓肥満に高血圧、高血糖、脂質代謝異常が組み合わさることにより、心臓病や脳卒中などになりやすい病態をメタボリックシンドロームとよびます。

メタボリックシンドロームの診断基準

必須項目ウエスト周囲径(内臓脂肪蓄積)男性≧85cm、女性≧90cm
3項目のうち
2項目以上
中性脂肪≧150mg/dl、またはHDL<40mg/dl
血圧≧130/85mmHg
空腹時血糖≧110mg/dl

MASLD(NAFLD)の原因の多くは、生活習慣の乱れやストレス、運動不足など、メタボリックシンドドロームの原因と同様です。

ウエスト周囲長と脂肪肝

内臓脂肪が多いほど脂肪肝が悪化することが示されています。腹囲長からみた場合でも

  • 男性(ウエスト周囲長≧85cm)の脂肪肝の有病率は50%以上
  • 女性(ウエスト周囲長≧90cm)の脂肪肝の有病率は50%以上

が示されています。

脂質異常症と脂肪肝

MASLD(NAFLD)において、脂質異常症は高率に合併しています。脂質異常症そのものもNAFLDやNASHの有病率を上昇させることが知られています。

高血圧と脂肪肝

MASLD(NAFLD)において、高血圧は約30~50%に合併しています。高血圧症はNAFLD発症のリスクであると報告されており、高血圧症とNAFLDには強い関連性があると考えられていますが、そのメカニズムははっきりしていません。

糖尿病と脂肪肝

NAFLDは耐糖能異常や2型糖尿病と強い関連があります。空腹時血糖≧126 mg/dL以上で約70%がNAFLDを有していたと報告されています。

また肝生検で診断されたNAFLD患者のうち約45%に2型糖尿病が合併していたと報告されています。最近の研究では、2型糖尿病患者様でHbA1c≧7.0%の期間が長いと、肝がんのリスクや肝硬変への進行リスクが上昇することが分かっています。

これらのリスクファクターやメタボリックシンドロームは動脈硬化を促進させます。

また一方で脂肪肝が悪化して脂肪肝炎を起こすと、動脈硬化を促進するサイトカイン(VEGF、VCAM、ICAM-1など)が放出されるため、動脈硬化がより一層進展してしまいます。

実際にMASLD(NAFLD)患者様は、肝硬変や肝臓がんに加えて、心筋梗塞や脳卒中などの心血管疾患や、肝臓以外のがんで亡くなることが多いことも示されています。

脂肪肝のイメージ

他方、日本ではNAFLD患者様の約20%が非肥満であると推定されています。非肥満の方でもMASLD(NAFLD)を発症することもあり遺伝的な要素や腸内細菌の影響などが考えられています。

脂肪肝の検査

血液検査や超音波検査、CT検査等を行います。血液検査で肝機能の数値が悪くないからといってNAFLDがないとは限りません。特に肥満や高血圧、脂質異常症、糖尿病、などの生活習慣病がある人は、必ず腹部超音波検査で脂肪肝の有無を確認しましょう。

①血液検査

血液検査のイメージ

AST、ALT、γGTPなどを測定し肝機能障害の有無を確認します。腎機能や糖尿病、脂質、甲状腺マーカーなども測定し評価します。

  • ASTやALT値は肝繊維化を反映せず脂肪肝の進展予測には使えません。
  • Fib-4 index=[年齢×AST]/[血小板数×√ALT]は高度繊維化の除外診断に有用です。ただし65歳以上や2型糖尿病の方には不向きな指標です。
  • 血小板数<20万は繊維化進展を疑う所見の1つです。

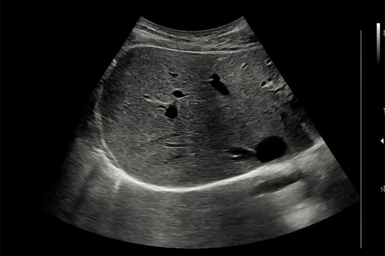
②腹部超音波検査

腹部超音波検査のイメージ

脂肪肝・脂肪肝炎を起こした肝臓は腫大します。また脂肪は超音波の反射源になるため白く見えます。そのため、正常の肝臓と比べると脂肪が沈着した脂肪肝は白っぽく輝いて見えます。そのほか肝腎コントラスト横隔膜や脈管の不明瞭化といった所見を確認します。

また超音波減衰を利用した測定法(Attenuation imaging)や、せん断波の伝播速度から組織の硬さを測定するShear Wave Elastographyも施行可能となっており、検査の幅が広がっています。

③肝臓エラストグラフィー

肝臓を外部の刺激によって振動させ、その振動の伝わり方から肝臓の硬さや脂肪肝の程度を測れる検査です。超音波で評価する方法とMRIで評価する方法があります。肝生検に匹敵する診断精度でありながらリスクも殆どない検査ですが、設備費の問題で多くは大病院で行います。

④CT検査

X線を使用して体の断面を撮影する検査です。超音波検査よりも広範囲かつ腹部全体や胸部なども併せて検査を行うことができます。造影剤を用いることで肝内の詳細な血流動態を評価し、肝臓がんなどの質的評価を行うことができます。

⑤MRI検査

磁気を用いて体の断面を撮影する検査です。造影剤を併用するMRI検査は肝細胞癌の診断感度が高い検査です。MR-PDFFやMRSなど精度の高い脂肪肝の検査も行えます。胆嚢、胆管、膵管などの検査目的で行うMRCPもあります。

脂肪肝の治療

脂肪肝は、メタボリックシンドロームや体質が複雑に絡んで起こる疾患であり、特効薬はありません。しかしいくつかの薬剤では脂肪肝に対する有効性が示されています。

薬物治療

糖尿病治療薬

①ピオグリタゾン

核内受容体であるPPARγのアゴニストとして作用します。脂肪細胞を小型に分化させ、肪細胞から分泌される炎症性サイトカイン(TNF-αやIL-6等)を減少させることが示されています。また、インスリン抵抗性を改善させることで、肝組織を改善させることも示されています。

  • 泌尿器系の癌、体重増加、浮腫などに留意が必要です。

②メトホルミン

肝臓での糖新生を抑制するとともに、脂肪酸の合成阻害と分解を促進するとされていますが、肝繊維化改善効果については確認されていません。一方で肝臓がんを減少させる効果は示されており、高リスクの方には併用を検討できる薬剤です。

③SGLT2阻害薬

近位尿細管でのグルコースの再吸収を阻害することによって血糖を低下させると共に、体重減少作用がある薬剤です。心不全や腎機能障害への有効性が確認されています。内臓脂肪減少とともに脂肪肝も改善することが示されていますが、より長期的に肝繊維化を改善するかどうかについては不明です。

④GLP-1作動薬

GLP-1は、もともと私達の体にあるホルモンで、脳に作用して食欲を抑えたり、胃に作用して消化を緩徐にする、膵臓に作用してインスリンの分泌を促し血糖値の急上昇を防ぐ、といった作用があります。GLP-1作動薬の1つであるリラグルチドでは、脂肪肝や繊維化を病理学的にも改善させる効果が示されています。

脂質異常症治療薬

ペマフィブラート

選択的PPARαモジュレーターであるペマフィブラートは、BMIに関係なくALTやγGTPといった臨床データを改善し、エラストグラフィーにおいても肝繊維化を改善させたことが示されています。

降圧薬

ACE阻害薬およびARB

肝星細胞にはアンジオテンシンIIの受容体があり、そこにアンジオテンシンが結合することで星細胞が活性化することが知られています。ACE阻害薬やARB(アンジオテンシンII 受容体拮抗薬)を投与することで肝繊維化が抑制されることが期待され、大規模臨床研究でも有効性が示されています。

抗酸化薬

ビタミンE

脂肪肝炎で産生が亢進するフリーラジカルによる活性酸素を捕捉し、脂質や蛋白質の酸化を抑制する作用を持ちます。NAFLDやNASHについて、血液生化学及び肝組織学の両者で改善効果が確認されています。

  • 長期投与で泌尿器系の癌を増加させる可能性が指摘されています。

その他の薬剤について

ウルソデオキシコール酸

血清ALT値やγGTP値の改善効果は認められるものの、肝組織学的な改善効果は認めませんでした。高用量では有効な可能性は示されていますが、日本では使用できません。

DPP4阻害薬

シタグリプチンを始め検討されているものの、一貫した結果は得られていません。

運動・食事療法

運動・食事療法による体重減少は、NAFLDやNASHの肝機能および組織像を改善することが示されています。

  • 脂肪肝炎(NASH)を改善させるには、7%以上の体重減量
  • 肝繊維化を改善させるには、10%以上の体重減量

が望ましいとされています。

運動療法

有酸素運動、レジスタンス運動ともに効果が示されています。軽く汗をかく程度のウォーキングやジョギング、水中運動といった有酸素運動は、動脈硬化や心不全においても有効です。

一方で、スクワットなどの筋トレについても効果があることが示されており、なかなか時間が取れない方は、1日5~10分からでもよいので、筋トレを行うことをお勧めします。

食事療法

  • 過剰な糖質や脂肪分の摂取を控えましょう。
  • ジュースや清涼飲料水はもちろん、果物も果糖の過剰摂取につながります。
  • 緑黄色野菜はビタミンやミネラルの摂取のために多めに食べましょう。
  • 食物繊維は十分に摂りましょう。食物繊維は、満腹感を助け、食事の総カロリー量を減らすだけでなく、摂取した糖質の吸収を緩やかにする働きがあり、肝臓の負担を減らしてくれます。

自分の生活スタイルを医師や保健師、管理栄養士などと相談しながら、適度な運動やバランスの取れた食事を心がけます。最も大切なことは、それらを半年から1年かけてゆっくり行い継続することです。そのためにも、定期的に受診し相談しながら目標を少しずつ達成していくようにしましょう。

当院では、オンラインでの栄養指導を行っております。院内・自宅どちらからでも栄養指導を受けることができます。

  • 脂肪肝を防ぐ食事について知りたい
  • 肝臓に優しい食事について知りたい
  • 健康に優しい食材や料理方法を教えてほしい

などのご希望がございましたら、お声かけください。